


▲黄崇博,广东省名中医,广州市正骨医院黄氏正骨手法第二代传承人、广州市正骨医院原院长、中医骨伤科学术带头人、主任中医师,从事临床和医学研究40余年,对中西医结合治疗骨伤科疾病、疑难杂症颇有见地,接骨手法以轻巧细腻见,重视骨科治疗与康复一体化。申报下载伟德软件app建设项目、广东省医学科研基金项目、广东省科技计划项目等8个项目被批准立项并获政府资助。
医案是中医临床实践的记录,体现了诊疗过程中理、法、方、药的具体运用,是医家诊治疾病思维过程的表现。历代名家医案是中医药宝库中的瑰宝。我们推出【以案说医】栏目,以期传承精华,启迪我辈,共同进步。
【基本资料】
潘某,女,时年41岁。
【发病过程】
患者于2020年12月29日上午行走时不慎跌倒,左手着地,立即出现左腕肿胀疼痛,畸形,活动受限,休息不能缓解,遂由家属带来院急诊就诊。
【首诊证候】
症见:患者神清,精神一般,痛苦面容,左腕置于胸前,因痛未敢活动。查体:左腕部明显肿胀,外观畸形,未见张力性水泡,腕关节环压痛(++),纵叩痛(++),骨擦感(+),腕关节活动疼痛受限,患肢末端血运、感觉及活动可。舌暗红,苔白,脉弦紧。
急诊拍摄X线片示:“左侧桡骨远端骨折,骨折断端嵌插短缩,向掌侧成角,合并尺骨茎突骨折。”
【辨证论治】
诊断:左桡骨远端骨折并尺骨茎突骨折。
治疗:根据我院桡骨远端骨折诊疗常规,予手法整复夹板外固定治疗。复位后复查X片示骨折对位对线良好。每周返院复查,定期拍摄X线了解骨折情况。1个月后复查X片,提示骨折端骨痂生长。6周后拆除外固定,指导患者功能康复锻炼。8周后腕关节活动基本恢复正常,患处无压痛。
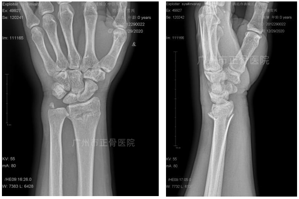
【随诊过程】

▲夹板示意图

▲复位前,骨折移位

▲复位后,骨折端对位对线良好
【按语】
桡骨远端骨折是指距桡骨远端关节面2-3cm以内的骨折。桡骨远侧端是松、密质骨交界处,其骨小梁的排列结构在此发生改变,该处是应力上的弱点,是骨折的好发部位,多发于儿童及老年人。桡骨远端骨折后,骨折端容易产生嵌插、倾斜、侧方等移位,骨折多累及桡腕关节面,使掌倾角的尺偏角发生改变,且背侧骨性肌腱沟发生扭曲变形,变得不平,若整复不良,掌侧倾斜角恢复不够,背侧骨性肌腱沟不平整,骨折畸形愈合后,影响患肢腕、手指的功能。桡骨远端骨折作为临床上最常见的骨折之一,约占全身骨折的10%,占急诊骨折病人的1/5,在我院平均一年有2000多例的桡骨远端骨折,绝大多数采取保守治疗。正骨手法在中医骨伤治疗中占有重要地位,唐·蔺道人《仙授理伤续断秘方》、元·危亦林《世医得效方》、清·吴谦《医宗金鉴·正骨心法要旨》等典籍对于正骨手法阐述甚详。
手法整复桡骨远端骨折主要步骤为拔伸牵引、折顶掌屈、尺偏。其中拔伸牵引要充分,折顶掌屈是关键:患者坐位或卧位,屈肘90°前臂旋前位,一助手握住上臂,术者两手紧握手腕,沿前臂长轴水平对抗牵引1~2分钟,待重叠基本矫正后,双拇指猛力向掌侧按压远折断端,加大骨折成角,待双拇指触骨折背侧断端皮质相抵时,双食指配合双拇指骤然折顶(反折时要在牵引下进行)尺偏,骨折得到复位。如果患者手臂过粗或骨折端重叠移位严重,则需要两助手分别维持牵引,术者单独进行反折及折顶掌屈尺偏。
郑重申明: 由于每个人的体质和病情不同,本案中的治疗方案仅适用于本案病人当时的病情。未经中医辨证诊治,不得完全照搬本案中的治疗方案。广大读者如有需要,应前往正规医院诊治,以免贻误病情。